Tomografía
Tomografía Computarizada
La tomografía computarizada, TC, es un procedimiento con imágenes que usa equipo especial de rayos X para crear imágenes detalladas, o exploraciones, de regiones internas del cuerpo. A veces, también se llama tomografía axial computarizada (TAC).
- TC cráneo (Simple y contrastada)
- Senos paranasales
- Oídos
- Maxilares o cara
- Cuello (Simple y contrastada)
- Columna vertebral
- Tórax (Simple y contrastada)
- Abdomen superior e inferior
- Urotomografía





Anterior
Siguiente






Anterior
Siguiente
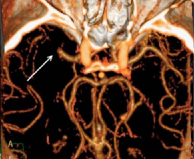
Angiotomografías
La angiografía por TC (ATC) combina una tomografía computarizada con la inyección de una tintura de contraste. TC significa tomografía computarizada. Esta técnica es capaz de crear imágenes de los vasos sanguíneos para detección de anomalías.
- Arterias cerebrales
- Arterias de cuello
- Arterias pulmonales
- Aorta toráccica y abdominal
- Angiografía de MPS
Tu salud es primordial
Nuestra prioridad es cuidar de ti con un servicio completo y personalizado
Además utilizamos los mejores equipos. Agenda tu cita hoy mismo



