Estudios contrastados
Radiología Especializada
Estudios contrastados
Se les llama radiología especializada o estudios contrastados por que en su mayoría requieren de algunos medios de contraste para su realización y diagnóstico.
Los materiales de contraste, también llamados medios de contraste, son usados para mejorar fotografías del interior del cuerpo producidas.
A menudo, los medios de contraste permiten al radiólogo distinguir las condiciones normales de las anormales, son sustancias que cambian temporalmente la forma en que los rayos X u otras herramientas para generar imágenes interactúan con el cuerpo.





Anterior
Siguiente






Anterior
Siguiente
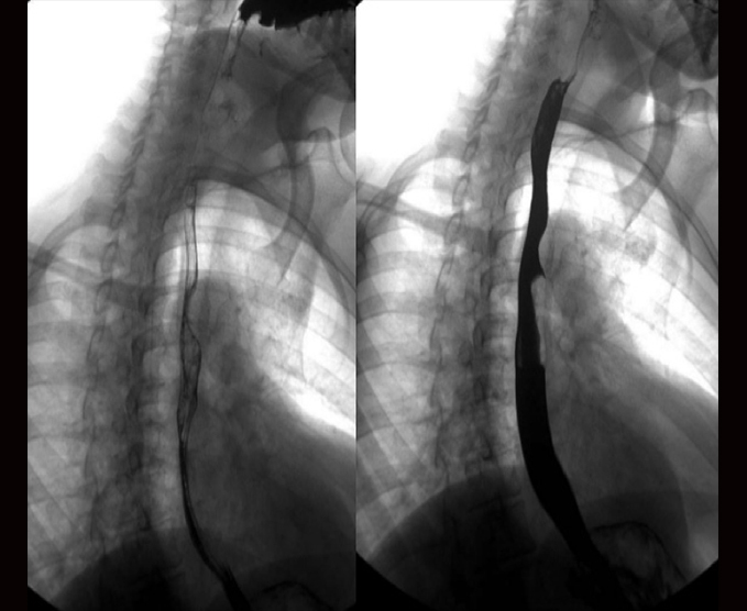
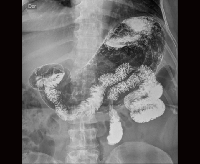
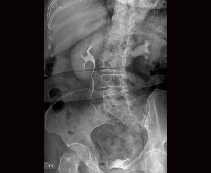
Algunos de nuestros estudios contrastados.
- Serie esófago gastroduodenal
- Colon por enema
- Urografía excretora
- Cistocrama miccional
- Cuello (Simple y contrastada)
- Uretografía retrógrada
- Fistulografías
- Tragos de hidrosoluble
- Esófagograma
Tu salud es primordial
Nuestra prioridad es cuidar de ti con un servicio completo y personalizado
Además utilizamos los mejores equipos. Agenda tu cita hoy mismo



